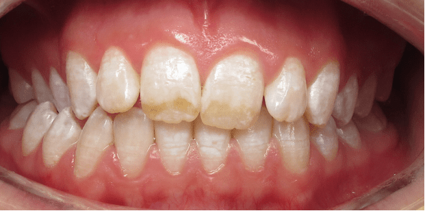
Developmental enamel defects (DEDs) are lesions on teeth which you may hear dentists referring to as ‘mottling’, ‘fluorosis’ or ‘hypomineralisation’ (see figure above). In this case the patient had 'brown DEDs' and she was self conscious about them.
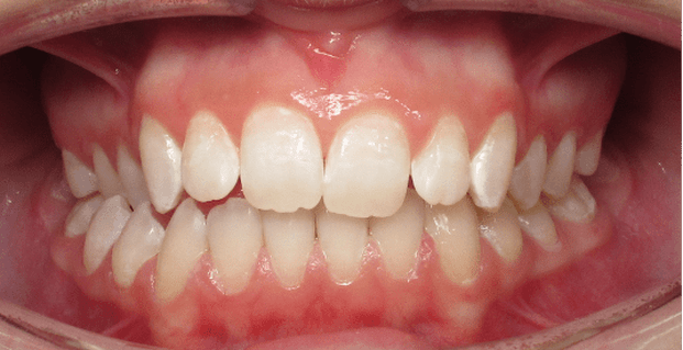
Treatment begins with at-home vital bleaching using 10% carbamide peroxide (for 3-4 weeks) using custom-made trays.
The next step is to do the resin infiltration in the clinic. This is approximately a one hour appointment.
In some cases, composite veneers might have to be utilized if the conservative techniques do not achieve an aesthetically pleasing result or if there has been lost of tooth structure to begin with.

